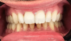
Patiente de 38 ans – portait des couronnes céramo-métalliques depuis plus de 20 ans et souhaitait améliorer l’esthétique de son sourire.
Les anciennes couronnes ont été déposées et remplacées par de nouvelles couronnes en zircone. Les dents ont été traitées par des traitements endodontiques puis reconstruites à l’aide de tenons radiculaires et de reconstitutions corono-radiculaires. Un allongement coronaire a été réalisé afin d’harmoniser la ligne gingivale. Un blanchiment dentaire à domicile a également été effectué.
avantaprès
Cas 2:
Patient de 23 ans , perte d’une incisive central à la suite d’un traumatisme lié à un accident de moto.
Remplacement implantaire réalisé avec succès, restauration esthétique optimale.
Le cas a été réalisé en collaboration avec le laboratoire dentaire de la Boston University, U.S.A
Cas 3 : Patient de 28 ans, correction de l’alignement dentaire réalisé avec gouttières transparentes Invisalign Durée du traitement: 6 mois.